当院の『OAMインプラント』治療内容について
当院では患者様に、当院や治療方法について正しく理解いただき、納得のいく歯科医院選び・治療法選択を行っていただき、より良い治療を受けていただくために、医療広告ガイドラインに対応した適正なホームページ制作をおこなっております。
無料相談にてご来院いただいた際には詳細な説明や症例などの提示なども可能ですので、お気軽にご相談ください。
| 医療広告ガイドラインに準拠した治療に関するご説明 | |
|---|---|
| 治療内容 | 人工の歯の根をあごの骨に埋め込み、それを土台として人工の歯を作製します。 |
| 標準費用(自費) | 25.5万円~28.5万円/1本(インプラント+上部構造にジルコニアを用いた場合) |
| 治療期間・回数 | 口腔内の状況や治療内容により異なります。 |
| 副作用やリスク | 治療には手術を伴います。 重度の歯周病がある場合脱離のリスクが高くなります。 体質等によりインプラントと骨の定着が困難な場合があります。 骨の状態により増骨等の処置が別途必要になります。 全身疾患の持病がある場合は主治医にご相談ください。 |
インプラント治療と他の治療法
隣接する歯を1、2本失った場合

ブリッジの場合
・噛む際に、削られた歯に負担がかかり傷みやすい。
・歯根のない歯茎は、噛むことによる刺激がない為、次第にやせてしまう。

インプラントの場合
・健康な歯を利用しないため、自分の歯を保てる
・歯茎に噛む力がかかるので、歯茎を健康に保てる。
奥歯を含めて複数の歯を失った場合

部分入れ歯の場合
・金属のバネをかける健康な歯に負担がかかる。
・常に違和感がある ・金属のバネが見えて、見栄えが良くない
・金属バネの間に食べ物が詰まりやすく、丁寧に掃除をしないと、虫歯や口臭の原因となる

インプラントの場合
・インプラントは時間の経過とともにあごの骨と結合するため、歯を支える力は健康な歯とほとんど変わらない
・単独で処置するので、健康な歯をそのまま保てる
・外観も機能も天然の歯と変わらない感覚が得られ、違和感がない
・特別なケアの必要がない
全ての歯を失った場合

総入れ歯の場合
・入れ歯がグラついたり、ずれたりする ・硬い物が噛めない
・入れ歯が舌を塞いで、味が分からない
・食べ物が入れ歯と歯茎の間に挟まり、痛む
・あごがやせてしまったために、年老いて見える

インプラントの場合
・インプラントはあごの骨に固定されるため、ぐらつかない
・天然の歯と変わらない感覚で物を噛んだり、味わうことができる
・食べ物が挟まることはほとんどない
・天然の歯と同様の外見を保つため、年老いて見えることはない
OAMインプラント

当院では、患者様の骨をできるだけ削らない「OAMインプラント」という手術法を取り入れております。
OAMインプラント法では、鍼灸治療に用いるような極細の針を使用し、骨表面にとても小さな穴を開け、その穴を少しずつ広げて人工歯根を入れます。
1回法・2回法はケースにより異なります
OAMインプラント治療法
-

極細のバー(直径0.3ミリ)でインプラントの位置決めをします。本当に小さいから全く痛くありません。歯科治療特有の嫌な音もありません。時間にしたら僅か1秒です。
-

次に細いリーマー(鍼灸治療の針のようなもの)で専用機具の通り道を作ります。手動ですから何も音がしません。当然痛くもありません。
-

次から専用機具(O.A.M.オーギュメーター)を使い穴を広げます。痩せてしまった骨でも少しずつ広げるから全体の骨も太く、丈夫になります。
-

太さを変えてだんだん骨を大きくしながら、更に丈夫な骨にします。
-

必要な穴の大きさになるまで器具を取り替えながら徐々に広げていきます。骨を削らないから痛くありません。
-

骨とインプラント体が結合したら歯が入ります。
骨造成法
インプラントを埋めるための顎の骨の量が足りない場合に行う手術です。骨造成法には下記の種類があります。
GBR法

1:インプラントを入れた状態です。
骨が足りないためインプラント体が全て埋まらずに見えてしまっています。

2.1を上から見た図です

3.造骨に使用する補填剤です。
β-TCPという骨補填剤とPRPという血液から血小板を凝縮して作ったものと 自家骨を混ぜたものです。

4.チタンの膜を置いて歯ぐきと骨の間にスペースを作り、3の補填剤を入れます。

5.チタンの膜を骨の上に被せたところです。
真上からみた図

6.頬側から見た図

7.4ヶ月後にチタンの膜を取り除いたところです。
骨が新しく作られ、インプラント部が完全に埋まっていることがわかります。
| <GBR法>医療広告ガイドラインに準拠した治療に関するご説明 | |
|---|---|
| 標準費用(自費) | インプラント施術代+5万円 |
| 治療期間・回数 | 口腔内の状況や治療内容により異なります。 |
| 副作用やリスク | 治療には手術を伴います。 通常のインプラント治療よりも通院回数手術回数が増えたり、治療期間が長くなったりする場合があります。 通常のインプラント治療よりも痛みや腫れが生じる場合や、感染のリスクが高まる場合があります。 状況によっては施術できない場合もあります。 |
サイナスリフト
上顎でインプラントを埋めるための骨が不足している場合、上顎洞という空洞に新しい骨をつくる手術です。
![]() |
![]() |
|
![]() |
![]() |
| <サイナスリフト>医療広告ガイドラインに準拠した治療に関するご説明 | |
|---|---|
| 標準費用(自費) | インプラント施術代+10万円~15万円 |
| 治療期間・回数 | 口腔内の状況や治療内容により異なります。 |
| 副作用やリスク | 治療には手術を伴います。 通常のインプラント治療よりも通院回数手術回数が増えたり、治療期間が長くなったりする場合があります。 通常のインプラント治療よりも痛みや腫れが生じる場合や、感染のリスクが高まる場合があります。 状況によっては施術できない場合もあります。 |
ソケットリフト
上顎の骨の厚みが不足している場合、インプラント埋入と同時にその部分だけの骨の高さを増大させる方法です。
リッジエクスパンション
顎の骨の厚みが足りない場合、まずドリルで小さい穴を開け次に専用の棒状の器具を使いその穴を押し広げて厚みを確保する手法です。
| <ソケットリフト・リッジエクスパンション>医療広告ガイドラインに準拠した治療に関するご説明 | |
|---|---|
| 標準費用(自費) | インプラント施術代に含まれます |
| 治療期間・回数 | 口腔内の状況や治療内容により異なります。 |
| 副作用やリスク | 治療には手術を伴います。 通常のインプラント治療よりも通院回数手術回数が増えたり、治療期間が長くなったりする場合があります。 通常のインプラント治療よりも痛みや腫れが生じる場合や、感染のリスクが高まる場合があります。 状況によっては施術できない場合もあります。 |
即時加重
通常のインプラント治療の場合
■抜歯
↓ 3~4か月(抜歯の原因となった病気を治す期間・抜いた場所が骨で埋まるのを待つ期間)
■インプラント埋入+仮歯
↓ 3~4か月(埋入したインプラント体と骨が結合するのを待つ期間)
■かぶせもの装着
約半年ほどの治療期間が必要です。
即時埋入とは
抜歯した当日にインプラント体を埋入する処置のこと。
骨とインプラント体の隙間を埋めながら、歯が戻る処置とインプラント埋入を同時に行うため高度な技術を要します。
即時加重とは
インプラント体を埋入してすぐ仮歯をかぶせる方法です。
見た目や噛み心地を損なわずに治療を行えるため、当院では8割の患者さまがインプラント手術を行った当日又は1週間以内にインプラントを支えとした仮歯を入れ、見た目と噛みあわせを回復させていただいております。
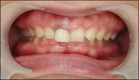
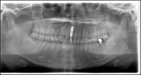
症例
他院で歯を抜いて骨が回復するのを待ってから半年かかると言われた患者様です。3か月後に海外留学を控えていたために、短期で治療を出来るところを探し、当院に来院されました。

術前レントゲン写真
歯の根っこが割れているのが分かります。

術前口腔内写真術前口腔内写真
歯が割れて唇側に傾いています。

術前口腔内写真
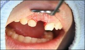
短い期間で治療を終わらせる為に、出来るだけ組織へのダメージを小さくするために最低限の傷口でインプラントの埋入を行いました。

歯を抜いた写真です。

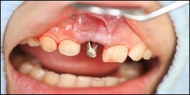
インプラントを入れる穴を開けた写真です。

インプラントを埋入した写真です。
写真から見てわかるように、出来るだけ歯ぐきを切らずにインプラントを入れています。
通常インプラント手術では、骨が直視できる状態の方が埋入を簡単に行えるため骨が露出するまで歯ぐきを切開します。ですが歯ぐきを一度はぐと血流が途絶え、傷の回復に時間がかかります。
上の写真のように歯ぐきをはがずにインプラントを埋入することをフラップレスといいます。
当院ではできるだけフラップレスを行っています。

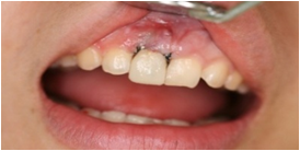
仮歯をつけるための土台です。

手術当日の仮歯です。
他院では歯を抜いて3か月程して、骨が回復した後にインプラントを入れる為、治療期間が半年かかると言われました。しかし当院では抜歯即時埋入という、歯を抜いて当日にインプラントを入れる治療法を行ったため3か月で治療を終える事が出来ました。
また抜歯即時埋入と同時に抜歯即時加重という、インプラントを埋入した当日から物を噛めるような歯を入れる治療法を併用したため、治療期間中、前歯部でも審美性を失わずに治療をすることができました。

CT画像です。

インプラント埋入後のレントゲン写真

完成後の口腔内写真
フラップレス
フラップレスとはメスを使わない、なるべく歯茎を切らずに行うインプラントの術式です。
通常インプラント手術では以下の写真のように歯茎を大きく切開してから歯肉を剥いで骨面を露出させてインプラントを埋入します。

■フラップレスの症例

こちらはフラップレスのインプラント手術前の口腔内写真です。

歯ぐきにパンチングでインプラントに必要な最小限の穴を開けます。

骨にインプラント埋入のための穴をドリルで開けます。

インプラント埋入直後の写真です。
ご覧のように歯茎のカットを最小限にするため、体への負担が少なくて済みます。

同じくフラップレスでインプラント埋入をした別の症例写真です。
歯ぐきを切開したり剥いだ後がありません。
縫合なども必要がないので、最小限の傷で手術ができ回復にかかる時間も少なくすることができます。
※ただしフラップレスを行うには条件がありますのでご相談ください。








